【医学影像 AI】早产儿视网膜病变国际分类(第三版)
0. 论文简介
0.1 基本信息
2021年,Chiang MF 等在 Ophthalmology 发表论文 “早产儿视网膜病变国际分类,第三版(International Classification of Retinopathy of Prematurity, Third Edition)”。
部分内容在2020年美国眼科学会年会上(视网膜与儿科眼科学分会日)展示,全文在2021年美国儿科眼科与斜视学会年会上发布。
本文的主要贡献是:
更新ROP分类
文章更新了ROP的分类体系,基于科学、技术以及临床医学的进展,提出了许多新的分类标准。特别是对现有分类进行了细化,并引入了新的术语和概念,如“后区II”、“缺口”、“A-ROP”等,进一步完善了ROP的定义和分类体系。强调血管异常的连续谱系
ICROP3强调ROP中的血管异常是一个连续谱系,从正常血管变化到“前加重病变”到“加重病变”逐步发展,同时保持“前加重病变”和“加重病变”这两个术语,帮助临床医生更好地识别和分类ROP病变。详细的阶段描述
文章对ROP的急性期(阶段1-3)进行了更加详细的描述,并明确了如何识别阶段1中的“界线”、阶段2的“脊”、以及阶段3的“视网膜外新生血管增生”。此外,文章还对视网膜脱落的阶段4和5进行了精确的定义,尤其是阶段5的子分类(如阶段5A、5B和5C)。引入了再激活与回归的概念
在ROP治疗和疾病进展的过程中,文章引入了“回归”和“再激活”两个重要概念。回归指的是病变的退化和消退,而再激活则指急性期特征的复发。通过这两个概念的引入,文章为ROP的后期监测和临床干预提供了新的框架。改进的影像学方法
ICROP3结合了更先进的影像学技术,如OCT(光学相干断层扫描),为ROP的分类和诊断提供了更多客观依据,特别是在血管化的评估和视网膜脱落的检测方面。推动未来的研究与临床改进
ICROP3不仅总结了现有的知识,还为未来的ROP研究和临床治疗提供了新的方向,特别是在量化血管变化、长远的PAR(持续无血管视网膜)风险以及ROP再激活的标志和时机等方面。
ICROP3通过对ROP分类的进一步完善和细化,推动了ROP诊断和治疗的发展,为临床工作提供了新的参考标准,并为未来的研究奠定了基础。
论文下载: Ophthalmology
引用格式:
Chiang MF, Quinn GE, Fielder AR, et al. International Classification of Retinopathy of Prematurity, Third Edition. Ophthalmology. 2021 Oct;128(10):e51-e68. doi: 10.1016/j.ophtha.2021.05.031.

0.2 摘要
- 目的:
《早产儿视网膜病变国际分类》是一份共识声明,旨在为早产儿视网膜病变(ROP)的分类建立标准化术语体系。
该分类最初于1984年发布,1987年扩展,并于2005年修订。本文提出第三次修订版——《早产儿视网膜病变国际分类(第三版)》(ICROP3),其必要性源于以下挑战:(1) 疾病分类关键环节存在主观性争议;(2) 眼科影像技术的革新;(3) 新型药物治疗(如抗血管内皮生长因子药物)相较于传统破坏性疗法,治疗后呈现独特的消退与再激活特征;(4) 全球部分地区ROP表现模式无法完全适应当前分类体系。 - 设计:
基于循证文献的综述及专家共识意见。 - 参与者:
2019年3月组建的国际ROP专家委员会,涵盖17个国家,包括14名小儿眼科医生和20名视网膜专家,其中女性12人,男性22人。 - 方法:
方法: 委员会分为3个小组——急性期组、消退/再激活组和影像组,各小组通过多次视频会议和在线论坛确定核心挑战与解决方案。随后,全体委员会通过多轮视频会议、两次线下多日会议及在线论坛达成分类共识。 - **主要指标: **
共识声明。 - 结果:
ICROP3保留了现有定义,如分区(病变位置)、分期(无血管-血管交界处的病变形态)和病变累及范围。主要更新包括:优化分类指标(如后部II区、切迹、5期亚分类,以及认识到从正常到plus病的血管异常呈连续谱系);将“急进型后部ROP”更名为“急进型ROP”,因越来越多证据表明急进病变可发生于较大早产儿及后部视网膜以外区域,尤其在资源有限地区;详细描述ROP消退与再激活特征,并新增长期后遗症说明。
0.3 缩略语
关键词:
Neonatology(新生儿学)
Pediatric ophthalmology(小儿眼科学)
Prematurity(早产)
Retina(视网膜)
Retinopathy of prematurity(早产儿视网膜病变)
缩写与首字母缩略词
- A-ROP(aggressive retinopathy of prematurity),侵袭性早产儿视网膜病变
- D(diopter),屈光度
- ICROP(International Classification of Retinopathy of Prematurity),国际早产儿视网膜病变分类
- ICROP3(International Classification of Retinopathy of Prematurity, Third Edition),国际早产儿视网膜病变分类_第三版
- PAR(persistent avascular retina),持续无血管视网膜
- ROP(retinopathy of prematurity),早产儿视网膜病变
- VEGF(vascular endothelial growth factor),血管内皮生长因子
0.4 ICROP3的关键内容总结
表1:国际早产儿视网膜病变分类第三版(ICROP3)的关键内容总结
每只眼睛应根据视网膜的区域、加重病变、分期和病变范围进行分类。如果出现侵袭性早产儿视网膜病(A-ROP),应特别注明。
区域(Zone)
a. 定义视神经盘为中心的三种视网膜区域。最远视网膜血管化或ROP病变的位置标志着该眼睛的区域。
b. 定义“后区II”区域,它从区域I和区域II的边缘开始,并向区域 II 延伸2个视盘直径。
c. 使用“切迹”(notch)一词描述ROP病变侵入一个更后面的区域,约1-2个钟点。对于此类眼睛,ROP区域应通过视网膜血管化的最远区域并加注“切迹”(例如:“切迹导致的区域I”)来标记。加重病变与前加重病变(Plus and Pre-Plus disease)
加重病变通过视网膜血管扩张和曲张的表现来定义,前加重病变是指血管扩张和/或曲张异常,但尚未达到加重病变的程度。认识到ROP中视网膜血管的变化是一个连续的谱系,从正常到前加重再到加重病变。应评估区域I内的血管,而不是仅通过窄角照片中视网膜的血管或异常象限的数量来评估。急性病变分期(阶段1-3)
通过血管-无血管交界处的结构来定义:阶段1为界线(demarcation line),阶段2为脊(ridge),阶段3为视网膜外新生血管增生或平面新生血管(extraretinal neovascular proliferation or flat neovascularization)。如果同一眼睛存在多个ROP分期,应按照最严重的阶段进行分类。侵袭性ROP(A-ROP)
之前用“侵袭性后期ROP(AP-ROP)”来描述位于后区I或区域II的严重、快速进展的ROP形式。由于越来越多的认识到这种病变可能发生在后视网膜之外,尤其是在资源有限的地区,委员会建议使用新的术语“A-ROP”。视网膜脱落(阶段4-5)
a. 视网膜脱落分为阶段4(部分脱落:4A视网膜中央凹仍附着,4B中央凹脱离)和阶段5(完全脱落)。
b. **定义阶段5的子分类:阶段5A,在眼底镜下可见视神经盘(提示开放漏斗状脱落);阶段5B,由于视网膜后纤维血管组织或闭合漏斗状脱落,视神经盘不可见;阶段5C,阶段5B伴有前段变化(例如:明显的前房变浅、虹膜角膜粘连、角膜混浊),提示闭合漏斗结构。**如果临床上有效,可以应用漏斗配置的其他描述符(例如,打开-关闭)。病变范围(Extent of disease)
使用时钟小时表示的12个扇区来定义。回归(Regression)
定义ROP回归及其后遗症,无论是自发回归还是激光治疗或抗血管内皮生长因子(抗VEGF)治疗后。回归可以是完全的或不完全的。应记录持续无血管视网膜(PAR)的部位和范围。再激活(Reactivation)
定义和描述ROP治疗后再激活的命名法,这可能包括新ROP病变和血管变化。当ROP阶段发生再激活时,建议使用“再激活”(例如:“再激活阶段2”)作为修饰语。长期后遗症(Long-term sequelae)
强调ICROP版本中未提及的长期后遗症,包括晚期视网膜脱落、PAR、黄斑异常、视网膜血管变化和青光眼等。
说明:黑体内容是对历史版本的重要修订。
解释: 这是关于“国际早产儿视网膜病分类第三版(ICROP3)”的分类指南。该指南规定了如何根据视网膜区域、加重病变、分期等方面对早产儿视网膜病(ROP)进行详细分类,并在发现更严重的病变时提供了进一步的描述方法,如A-ROP(侵袭性ROP)和视网膜脱落等。此分类体系在临床中帮助医生准确评估病情,并指导治疗方案的选择。
1. 引言
1953年,Reese等人[1]首次发表了晶体后纤维增生症的分类体系。至1984年,来自11个国家的23位眼科专家共同制定了早产儿视网膜病变国际分类标准(ICROP)[2]。这一急性ROP分类体系为首个多中心临床治疗研究(ROP冷冻疗法研究[CRYO-ROP])奠定了基础,其研究结果表明ROP可获得成功治疗[3],由此确立了全球范围开展筛查的必要性,以识别这一可预防性儿童盲的主要致病因素。
1987年,ICROP分类扩展纳入了视网膜脱离相关内容[4],并于2005年进行修订以整合期间学术进展[5]。如今,基于以下因素,制定第三版(ICROP3)势在必行:首先,现行标准中部分评估指标存在主观解读差异;其次,眼科成像技术已取得重大革新;再者,抗血管内皮生长因子(抗VEGF)疗法的应用带来了治疗后病变消退与复发的特征识别新挑战[6,7];最后,现行分类体系对医疗资源匮乏地区的ROP表型特征描述尚不充分。表1 总结了 ICROP3 为应对这些挑战所采用的的主要特征和变化。
’所有患眼均应按照本文定义的检查参数(区位、附加病变、分期及范围)进行分类,若存在侵袭性ROP(A-ROP),须另行标注。
2. 血管化位置:区域(ZONE)
内眼底血管化从妊娠第13周左右开始,逐渐从视盘周围区域向外扩展,最终在接近足月时,外周视网膜完全血管化[8]。视网膜血管化的位置能够反映婴儿的成熟度及其发展ROP(早产儿视网膜病)的风险。正在发育中的血管呈小叶状,鼻侧靠近视盘,而颞侧则较远[9],但实际上,血管化状态(“区域”)通常以视盘为中心,绘制成同心圆进行记录。
视网膜有3个以视盘为中心的同心区域,延伸至齿状缘(见图1)。视网膜血管化或ROP病变的最远区域表示该眼睛的区域。最远的区域,即区域I,通过一个半径为视盘中心到中央凹距离两倍的圆来定义。区域II是一个环形区域,从区域I的外边界鼻侧延伸至鼻侧齿状缘,在颞侧、上侧和下侧的距离相似。委员会定义从区域I边界向外延伸2个视盘直径的区域为“后区II”,以指示该区域的病变可能比区域II的外周区域更为严重(见表1)。

图1:右眼(RE)和左眼(LE)的示意图,显示了用于描述血管化位置和视网膜病变程度的区域边界和时钟小时扇区。实心圆表示区域I至III的边界,虚线圆表示后部区域II的边界(区域I外2个椎间盘直径)。LE中显示了一个假设的检查结果示例,代表II区约3个小时的1期疾病(注意单线绘制以记录1期疾病的存在)。
委员会引入“切迹”(notch)这一术语,用于描述ROP病变沿水平方向向较后部区域侵入 1-2个 钟点的特殊形态。若存在此类病变,应在视网膜血管化最靠后区域标注"继发于切迹"(见表)。例如,多数病变位于II区但颞侧存在延伸至 I 区的切迹时,应记录为"I区(继发于切迹)",以此区别于主要病变位于 I 区的情况。
区域III是区域II之外的残余外周视网膜弯月形区域。为了确定ROP是否位于区域III,眼科医生必须确认鼻侧血管已血管化至齿状缘,并且在2个最靠近鼻侧的时钟小时内没有ROP(见图1,鼻侧)。
实际上,区域I的颞侧范围可以使用28屈光度镜片进行估算。例如,将视盘的鼻侧边缘放置在视野的一边时,区域I的界限大约在视野的颞侧边缘。通过视网膜摄影,在39周出生后月龄(PMA)之前,早产儿的中央凹可能无法清楚识别,因此中央凹的位置可以大致估算为黄斑的中心[10-12]。
3. 加重病变与前加重病变
严重ROP与视网膜后部血管的扩张和曲张相关,这被称为“加重病变”,首次在1982年提出[13]。1984年 ICROP中选取了一种窄角代表性视网膜照片来表示加重病变[2]。为了代表加重病变所需的最小血管扩张和曲张程度,CRYO-ROP研究及随后的临床试验选择了不同的照片[3,14]。在2005年ICROP中,“前加重病变”被定义为视网膜血管扩张和曲张异常,但不足以诊断为加重病变。值得注意的是,1984年ICROP对加重病变的原始描述包括虹膜血管充血、瞳孔扩张差以及外周视网膜血管充血伴玻璃体混浊的特征,这些现在被认为是晚期病变的标志[2],但不再是诊断加重病变所必需的。
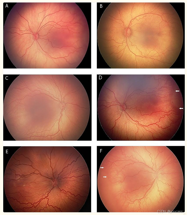
委员会建议,评估加重病变的范围应基于区域I内的血管,而不是仅依赖窄角照片中的血管或异常象限的数量[4,5,15,16](见表格)。前加重病变(图2A–C)和加重病变(图2D–F)的代表性例子展示了这一大致的视野。术语“前加重(preplus)”和“加重(plus)”应继续使用[17],但委员会强调这些术语代表的是视网膜血管变化的一个连续谱系(见表格)。图3 展示了委员会成员对这-一谱系的分级。尽管在此加重病变和前加重病变谱系上的分级可能在观察者之间有所不同[18-20],但在正常和严重端的分歧较少[21]。临床实践中,病情严重程度的评估可能考虑其他因素,包括临床和人口学风险因素、检查方式(例如,数字视网膜成像与间接眼底镜检查、镜片度数)、病变区域和病变进展速度[22]。

图2:广角眼底照相展示"附加病变"与"预附加病变"的典型案例。
注意评估中央视网膜(Ⅰ区范围内)血管异常的不同程度:
(A)轻度预附加病变,动脉迂曲及静脉扩张程度超过正常范围但未达附加病变标准;
(B)预附加病变表现为显著动脉迂曲伴轻微静脉扩张;
(C)预附加病变可见中度动静脉迂曲扩张,但经委员会多数成员判定未达到附加病变阈值;
(D)附加病变呈现显著的静脉扩张与动脉迂曲(注意其改变程度与周边病变不匹配,白色箭头提示平坦型新生血管,即3期病变);
(E)重度附加病变,动静脉均显著扩张迂曲;
(F)重度附加病变合并边界不清的后极部平坦型3期病变(箭头所示),此联合征象为急进型早产儿视网膜病变(A-ROP)的典型表现。

图3. 早产儿视网膜病变(ROP)血管改变的连续谱系:从正常至附加病变。
本委员会所有34名专家对30幅眼底图像进行分级评估(正常/预附加病变/附加病变),关于疾病严重程度的界定标准存在一定差异。
(A) 6幅代表性图像:顶部色阶条反映专家评分的平均值(绿色=正常 → 红色=附加病变),直观展现血管异常程度的连续性演变。
(B) 9幅分区展示图像:色阶代表委员会对各图像血管病变程度的平均评分(绿色=正常 → 红色=附加病变),进一步验证血管异常呈谱系分布的特征。
4. 急性病变分期(阶段1-3)
在发育中的早产儿中,视网膜的血管化尚不完全(见图4)。当没有ROP病变时,委员会建议使用“血管化不完全”一词,并伴随血管化区域(例如“血管化不完全至区域II”),而不是使用“无ROP”或“未成熟视网膜”等术语。当急性ROP血管特征在血管化和无血管视网膜交界处出现时,使用“阶段”来描述其外观。如果同一只眼睛出现多个ROP阶段,应根据最严重的阶段进行分类。

图4:宽角眼底照片显示早产儿右眼血管化不完全进入区域II,且存在早产儿视网膜病风险。
请注意视网膜血管弓逐渐变细并终止的情况(白色箭头)。
4.1 阶段1:界线
界线是位于血管-无血管交界处的薄结构(见图5A–B,图6A),其外观相对平坦且呈白色,位于视网膜平面内,并可能与该线后方的血管异常分支相关。仅在血管-无血管交界处,外周视网膜血管的扩张和曲张不足以诊断为阶段1。

图5:宽角眼底照片展示了急性早产儿视网膜病(ROP)阶段1–3的例子。
(A) 阶段1界线,位于血管化与无血管视网膜的交界处(白色箭头)。
(B) 阶段1界线(白色箭头)及其相关缺口(黑色箭头),位于血管弓之间,可视为区域I由于缺口。请注意前加重病变,伴有轻度视网膜血管曲张和扩张。
© 阶段2脊,较阶段1明显隆起(白色箭头)且更厚。
(D) 阶段2脊。注意脊后方的“爆米花”病变(箭头)及前加重病变,伴有轻度血管曲张和扩张。
(E) 阶段3病变,伴有视网膜外新生血管(白色箭头)。请注意加重病变,伴有血管曲张和扩张。
(F) 眼睛同时存在阶段2(黑色箭头)和阶段3(白色箭头),以及相关的“爆米花”病变(白色箭头)。请注意加重病变,伴有血管曲张和扩张。

图6:光学相干断层扫描(OCT)图像展示了早产儿视网膜病(ROP)阶段1–3的例子。
OCT横截面B扫描图像(左侧)来自于构成OCT体积的光栅扫描,位置在绿色线的位置(右侧)。OCT面扫图像(右侧)是从OCT体积中汇总而来,视网膜血管中的血液在视网膜和脉络膜上方投下阴影。
(A) 阶段1界线(白色箭头)在横截面B扫描OCT图像(左侧)上与视网膜血管-无血管交界对齐(右侧,注意视网膜血管位于所有图像的左侧)。
(B) 阶段2脊(白色箭头)在横截面B扫描OCT图像(左侧)上,在视网膜内层局部增厚和膨出的位置,与面扫图像(右侧)上视网膜血管-无血管交界的较宽暗边缘对齐。
© 阶段3视网膜外新生血管增生,在横截面B扫描OCT图像(左侧)和面扫视图(右侧)上,分别位于(白色箭头)和交界后方(箭头)处。请注意,视网膜外血管中的血液也在视网膜和脉络膜上方投下阴影。
4.2 阶段2:脊
阶段2 ROP的标志性特征是脊,其宽度和高度从界线演变而来(见图5C–D,图5F,图6B)。脊的高度可能有所不同,颜色可以从白色到粉红色变化。小的孤立性新生血管组织簇位于视网膜表面,通常被称为“爆米花”,可以在脊后方看到(见图5D,图5F),但这不构成阶段3[23,24]。
4.3 阶段3:视网膜外新生血管增生
在阶段3 ROP中,视网膜外新生血管增生从脊延伸到玻璃体内(见图5E–F,图6C),并与脊的后方相连,导致增生范围更广时出现不规则的外观。在没有明显脊或界线的情况下,区域I或后区II病变的眼睛可能会出现“平面”样的视网膜外新生血管增生,这也被认为是阶段3。阶段3可能伴有不同程度的视网膜外新生血管组织(见图5E–F,图6C)。
5. 侵袭性ROP(A-ROP)
侵袭性后期ROP(AP-ROP)在2005年被加入到ICROP中,用以描述一种位于区域I或后区II的严重、快速进展的ROP形式。此前被称为“急性病”或“急性病变”,可能是1940年代观察到的典型急性ROP【1】。最初描述的AP-ROP通常影响最小的早产儿【5,25】。然而,越来越多的研究发现,侵袭性ROP也可以发生在较大的早产儿身上,且不仅限于后视网膜,尤其是在资源有限的地区【26】。因此,由于这一表型的主要诊断特征是病变的进展速度和血管异常的表现,而不是病变的发生位置,委员会建议使用新术语“侵袭性ROP(A-ROP)”来取代AP-ROP(见表1)。
A-ROP的标志是病理性新生血管和严重的加重病变的快速发展,而没有通过典型的ROP阶段观察到进展。在早期A-ROP中,视网膜可能表现为位于原血管化视网膜边界后方的毛细血管异常,如动静脉短路,类似扩张的血管环包围血管损伤区域(见图7A)。在某些情况下,这种现象可能非常严重,几乎完全丧失血管化视网膜(见图7)。发展为A-ROP的眼睛,尤其是有更后部病变的眼睛,可能在疾病早期在区域I内出现细小血管。A-ROP的眼睛常常发展出一种阶段3的表现,这种表现可能呈现为“平面”新生血管网,缺乏典型特征(见图7B–C),在使用28屈光度镜片进行眼底镜检查时可能难以观察,但使用更高的放大倍率(例如20屈光度镜片)或荧光素血管造影可能会有所帮助。值得注意的是,经典阶段3中所见的视网膜外新生血管也可以在A-ROP的眼睛中观察到(见图7C)【27】。
图7:展示侵袭性早产儿视网膜病(A-ROP)的图像。
A. 眼底照片显示侵袭性ROP(A-ROP),伴有严重的血管收缩、毛细血管缺血、非生理性扩张的血管环和动静脉短路,区域I的加重病变。
B. 眼底照片显示A-ROP,区域I的血管化与无血管视网膜交界处,扩张的血管环(白色箭头)、扩散的平面视网膜外新生血管,最明显的位于上颞侧,并且伴有严重的加重病变。注意没有典型的阶段3病变。
C. 眼底照片显示区域I的A-ROP,伴有严重的加重病变,平面视网膜外新生血管伴有纤维化,并且上方(白色箭头)出现早期收缩,且上颞侧有视网膜内及玻璃体出血。
D、E. 宽角眼底照片(左侧)显示A-ROP,区域I内血管化与无血管视网膜交界模糊(白色箭头)并伴有严重的加重病变,荧光素血管造影(右侧)显示明显的血管闭塞和毛细血管缺血。注意未出现典型的ROP病变,并且血管收缩区域出现在脊后方。
6. 视网膜脱落(阶段4-5)
急性病变及其回归并不总是清晰可见,尤其是在视网膜脱落的情况下,这两者可能同时发生。
6.1 阶段4:部分视网膜脱落
阶段4 描述了部分视网膜脱落,可能不涉及(阶段4A,见图8A–B)或涉及中央凹(阶段4B,见图8C–E)。提示视网膜脱落的临床特征包括脉络膜血管的细节丧失或颗粒状色素上皮的丧失,和/或相对于邻近附着的视网膜呈现“磨砂玻璃”外观。黄斑偏位和血管弓变直是外周牵拉的标志。轻微的中央凹病变可能通过光学相干断层扫描(OCT)成像最有效地辨别(见图9)。阶段4 ROP可能是渗出性或牵拉性的,可以发生在治疗过的眼睛或未治疗的眼睛,且根据牵拉向量和渗出情况,外观可能有所不同。渗出性阶段4脱落最常见于激光治疗后的几天内。它们通常呈现凸起状外观,有时局部化,并且自限性。牵拉性脱落则与进行性纤维血管组织形成和玻璃体混浊相关【28】,可能伴有脂质沉积和/或视网膜下出血(见图8D)。通过临床检查区分视网膜裂离与脱落可能是困难的。A-ROP的眼睛可能发展出独特的后部“火山”牵拉性脱落,通常涉及中央凹,外周视网膜保持附着(见图8E)。尽管临床外观类似于阶段5漏斗形脱落,但这些更准确地应视为阶段4B,因为治疗后的外周视网膜仍然保持附着,因此脱落并非完全性。

图8:宽角眼底照片展示了早产儿视网膜病阶段4的例子。
(A) 阶段4A,位于颞侧视网膜。视网膜外新生血管的牵拉导致视网膜抬升(白点),这种变化可以通过眼底镜检查察觉,表现为亮度的微妙变化和视网膜色素上皮颗粒感与脉络毛细血管细节的丧失。请注意,中央凹的近似位置(星号)未被抬升,并且视网膜外新生血管(白色箭头)可能比脱落的后方范围更外周。
(B) 阶段4A,外周脊部区域的360度牵拉性视网膜脱落。
© 阶段4B脱落,涉及中央凹。注意弓形血管的变直和视神经盘的牵拉外观。
(D) 阶段4B脱落,伴随视网膜下出血和脂质渗出至中央凹。
(E) 火山形状的阶段4B。在后期ROP的眼睛中,病理性新生血管的收缩可以导致血管化视网膜脱落,形成火山形状的配置。

图9:光学相干断层扫描(OCT)图像展示了阶段4病变的例子。
OCT横截面B扫描(左侧)来自于构成OCT体积的光栅扫描,呈现为汇总的面扫图像(中间)和对应的彩色照片(右侧)。请注意,在彩色照片中,难以辨别视网膜脱落的范围,尤其是中央凹的病变。在面扫OCT和彩色照片中,中央凹的位置(星号)和脱落的边缘(白点)是通过OCT B扫描确定的。视网膜血管中的血液在面扫视图中投下阴影,覆盖在下方的视网膜和脉络膜上。
(A) 阶段4A视网膜脱落。在面扫OCT图像(中间)上,黄色线表示位于中央凹上方的B扫描位置(左上角黄色框),绿色线表示穿过中央凹的B扫描位置(左下角绿色框)。注意,在B扫描中,中央凹的视网膜附着(星号),以及视网膜内的渗出物(高反射点)、外周视网膜脱落和视网膜裂离。
(B) 阶段4B视网膜脱落。请注意,在中央凹处的视网膜脱落(星号),这一点在眼底镜检查中非常难以察觉。
6.2 阶段5:完全视网膜脱落
完全视网膜脱落被定义为阶段5(见图10)。当纤维化阻碍了视网膜后极的可视化时,可以通过B扫描超声检查评估脱落的范围。委员会建议将完全脱落分为三种配置【30-32】:阶段5A,其中视神经盘可通过眼底镜观察到(见图10A,提示开放漏斗状脱落);阶段5B,其中视神经盘因视网膜后纤维血管组织或闭合漏斗状脱落而不可见(见图10B–C);阶段5C,其中阶段5B的表现伴随前节异常(例如,晶状体前移、前房明显变浅、虹膜晶状体粘连和/或晶状体-内皮粘连伴中心角膜混浊)(见图10D,提示闭合漏斗配置)【4,33】。
如果临床上有用,可以应用漏斗配置的其他描述符(例如开闭式)。

图10. 展示早产儿视网膜病(ROP)阶段5的例子。
A. 宽角眼底照片显示阶段5A ROP,特征为视网膜完全脱落且视神经盘可见。注意开放漏斗状配置。
B. 宽角眼底照片显示阶段5B ROP,视神经盘无法看到,因视网膜后纤维血管组织的遮挡。
C. 阶段5B ROP的前节正常外观照片(左侧),因视网膜后纤维血管组织的遮挡无法看到视神经盘或视网膜。B扫描超声检查(右侧)显示完全视网膜脱落,并呈后部闭合漏斗状配置。
D. 外部照片显示阶段5C ROP的前节特征,伴有前晶状体移位、前房明显变浅、中央虹膜晶状体内皮粘连和中央角膜混浊(星号),这些都阻止了对闭合漏斗状视网膜脱落的观察。
图10B:已获得Arch Ophthalmol 2005;123:991-999的图像使用授权。
7. 病变范围
病变范围通过使用沿时钟小时位置的30度扇区进行分类(见图1)。
8. 回归、再激活和长期后遗症
迄今为止,ROP分类主要集中在急性病变上,较少关注回归【4,5,33】。抗VEGF药物的引入带来了新的挑战。抗VEGF治疗后的ROP回归的临床特征和时间过程可能与激光治疗后的眼睛有所不同。在描述ROP的后期阶段时,委员会建议使用两个术语(见表格):(1) “回归”,指病变的退化和消退,(2) “再激活”,指急性期特征的复发。回归可以是完全的或不完全的,包括视网膜异常的持续存在。回归和再激活不应被视为急性ROP的倒退或重复。
8.1 回归
ROP急性期回归的模式在自发回归和治疗后回归之间有所不同。委员会重点强调与血管及外周ROP表现相关的回归特征(见图11)。
回归的最初可见征兆通常是血管性的,并且在抗VEGF治疗后往往比激光光凝治疗后(大约7-14天)或自发回归过程中(约7-14天)更快速出现(最早可在1-3天内出现)【33,35,36】。这些征兆包括加重病变的减少,其中血管扩张和曲张的组成部分可能会失去关联(例如,抗VEGF注射后,血管扩张减少可能先于曲张减少发生,曲张的减少可能发生也可能不发生);以及向外周无血管视网膜的血管化,这可能是自发发生或在抗VEGF治疗后发生。回归的其他临床征兆包括晶状体血管膜的退化、瞳孔扩张改善、介质更清晰以及视网膜内出血的消退。
ROP病变的回归特征是新生血管组织的变薄和变白。经过自发或治疗诱导的回归后,向外周无血管视网膜的血管化可能是完全的或不完全的,并且称为“持续无血管视网膜”(PAR)(见图12)。PAR可以发生在外周或后部视网膜。与自发回归后的外周PAR相比,抗VEGF治疗后出现的PAR似乎发生得更频繁,并且涉及的视网膜区域更大【37】。PAR应根据其位置(例如,后区II)和范围(例如,鼻侧)进行描述。

图11:宽角眼底照片展示了早产儿视网膜病(ROP)回归的例子。
A. 激光治疗后的回归。左图为治疗前拍摄,显示阶段3 ROP伴加重病变。中间图为治疗后1周拍摄,显示阶段3 ROP变得更薄且更白。右图为治疗后1个月拍摄,显示病变回归。
B. 抗血管内皮生长因子(VEGF)注射后,侵袭性ROP的加重病变回归。左图为治疗前拍摄,显示加重病变和平面新生血管(阶段3 ROP)。右图为治疗后2周拍摄,显示加重病变改善且未见ROP病变。
C. 抗VEGF注射后的回归。左图为治疗前拍摄。右图为治疗后4周拍摄,显示阶段3 ROP缺失并且加重病变得到改善,同时向外周无血管视网膜血管化。注意在原阶段3区域的环状吻合,以及在更前部的再激活阶段1病变。

图12:持久无血管视网膜(PAR)和早产儿视网膜病(ROP)的长期后遗症的例子。
A. 18岁患者的牵拉性和渗出性视网膜脱落合并症,患者有未治疗ROP的病史,且患眼因ROP导致眼球萎缩。
B. 超宽视野荧光素血管造影(FA)显示7岁患儿的PAR(星号),该患儿有自发回归ROP的病史。注意异常的血管配置,特别是在下颞侧(圆圈)。
C. 来自7岁患儿的超宽视野FA,患儿有自发回归ROP的病史,但在未完全回归的阶段3病变下,发现下颞侧有PAR和渗漏(星号)。
D. 15岁患儿的超宽视野眼底图像(左侧),显示未完全回归的脊(白色箭头)和PAR(星号),患者有极度早产的病史,且未接受ROP治疗。2年后的超宽视野眼底图像(右侧)显示患者有涉及中央凹的裂孔型视网膜脱落。患眼具有类似外观和病程。
E. OCT血管成像图像显示7岁患儿的中央凹轮廓未完全发育(左侧)和中央凹无血管区域定义不清(右侧),患儿有类型1 ROP治疗史,接受过激光治疗。
8.2 再激活
再激活在抗VEGF治疗后比在自发回归后更为常见,并且在完全激光光凝治疗后几乎不会发生。再激活可能发生在原始ROP病变的不完全或完全回归后。尽管抗VEGF注射后再激活的最大时间间隔尚不明确,但当前证据表明,它最常发生在出生后37至60周之间(PMA)。然而,这可能受到抗VEGF药物的选择和剂量的影响,尤其是在进行再次注射时,再激活可能会发生得更晚【38,39】。
再激活的征兆从新的自限性界线的出现到加重病变伴随再激活的阶段3不等。委员会强调与血管和ROP病变相关的病情再激活特征(见图13),并指出再激活可能不会按急性期病变的正常阶段顺序进展。
ROP再激活中的血管变化
ROP再激活中的血管变化包括反复的血管扩张和/或曲张,类似于急性期的“前加重”或“加重病变”。视网膜外新生血管可以出现,并且与急性ROP的血管相比,这些血管可能相对较为脆弱,因此难以观察。出血可以发生在视网膜外血管的叶状结构周围。或者,视网膜外血管可能呈现为纤维血管脊,可能会进展为纤维化、收缩和牵拉性脱落【28,29,40】。
再激活的记录
记录再激活时,应明确新ROP特征的存在和位置,使用“再激活”修饰符注明区域和阶段。例如,再激活期间出现的界线应注明为“再激活阶段1”。再激活通常发生在原脊的部位和/或视网膜内血管生长的新前缘处,但也可能发生在血管化视网膜的其他地方。再激活的征兆可能相对微妙(见图13G)。再激活并进展到阶段4和5 ROP时,通常伴随玻璃体凝聚、混浊、纤维性收缩和/或视网膜裂孔的出现【4,5,28,29,33,40】。

图13:早产儿视网膜病(ROP)再激活的例子。
A. 这是在32周出生后月龄(PMA)时进行玻璃体内抗血管内皮生长因子(VEGF)注射后,38周PMA时拍摄的图像,显示血管化进入外周无血管视网膜。界线(箭头)在前缘处,是再激活的阶段1 ROP。
B. 这是在38周PMA时进行玻璃体内抗VEGF注射后的100周PMA时拍摄的左眼图像。血管化进入外周无血管视网膜。通常,在原脊的部位会出现显著的血管异常,并且在某些情况下,会出现残余纤维化(星号),但除非伴有血管活动增加,否则这不表明再激活。
C. 这是在37周PMA时进行玻璃体内抗VEGF注射后的68周PMA时拍摄的图像,显示血管化进入外周无血管视网膜,且再激活的阶段1病变(箭头)。请注意,在原脊部位(星号)出现多个环状血管环。
D. 这是在67周PMA时拍摄的右眼图像,该眼在33周PMA和52周PMA分别接受过玻璃体内抗VEGF注射。再激活的阶段3病变(星号)出现在血管化前缘(箭头)后方。
E. 这是在50周PMA时拍摄的左眼图像,显示再激活的阶段3 ROP,位于前缘处(箭头),该眼在36周PMA时接受过玻璃体内抗VEGF注射。血管化已进入外周无血管视网膜,在原脊(星号)和前部再激活之间发生。
F. 这是在45周PMA时拍摄的左眼荧光素血管造影图像,该眼在34周PMA时接受过玻璃体内抗VEGF注射。泄漏出现在再激活前缘(箭头)和原始边界(星号)处。
G. 这是在34周PMA时接受玻璃体内抗VEGF注射的右眼(左侧,箭头),该眼在38周PMA时临床检查显示回归(中间图像,箭头)。在51周PMA时,眼睛在相同位置(右侧,箭头)显示再激活的阶段3 ROP,且未见血管化进入外周无血管视网膜。
8.3 长期后遗症
有早产史的患者,即使没有ROP病史,也会出现一系列眼部异常,可能导致永久性后遗症(见图12)【4,33,41】
晚期牵拉性、裂孔型或罕见的渗出性视网膜脱落(见图12D)。42 在没有ROP活动迹象的情况下发生的视网膜脱落不应归因于再激活,而应视为后遗症【43】。
来自慢性牵拉的视网膜裂离,尤其是阶段3回归后,可能在没有视网膜脱落的情况下进展至中央凹,并威胁到视野和视力。
持续无血管视网膜(PAR)(见图12A–C)。无血管视网膜容易发生视网膜变薄、孔洞、格状变化,且可能在生命后期伴随视网膜脱落【42–45】。
黄斑异常,包括较小的中央凹无血管区域,46–48 和中央凹的钝化或缺失(见图12E)。这些可能与急性期ROP的严重程度相关,并且在荧光素血管造影或OCT成像中可能更加明显【24,37】。
视网膜血管变化。这些变化可能包括持久的血管曲张、血管弓的变直伴随中央凹拖拽、以及镰形视网膜褶皱。异常的非分叉视网膜血管分支、环状相互连接的血管弓和扩张血管经常发生。可能发生玻璃体出血。
青光眼。曾有ROP病史的眼睛可能在晚年发展为继发性闭角型青光眼【49,50】。
9. 结论
随着科学、技术和医学艺术的进步,早产儿视网膜病(ROP)的疾病病理生理学和临床管理已得到了不断发展。自2005年ICROP发布以来,一些具体的进展涉及新生儿护理、抗VEGF治疗、眼科影像学、机器学习和儿科玻璃体视网膜手术。本文更新了ROP分类,以回应这些进展,通过整合基于证据的文献回顾和专家共识意见。表格总结了ICROP3如何保持许多现有的分类指标,同时对其他指标进行了修订和增加,如修订的分类指标(例如“后区II”、“缺口”、阶段5的子分类、在保持“前加重病变”和“加重病变”术语的同时识别血管异常的连续谱系)、定义A-ROP以取代侵袭性后期ROP、以及定义ROP回归和再激活的命名法。这些原则将为未来提高ROP研究和临床护理提供基础。
然而,ICROP3只是改善ROP护理和结果旅程中的一个节点。我们希望这将有助于加深对急性期ROP、其回归及再激活的理解。需要进一步研究的领域包括量化血管变化的方法、PAR的长期风险,以及ROP再激活的标志和时机。与其他护理人员和研究人员的进一步合作将提高全球ROP护理的质量和标准化。
10. 其它
10.1 致谢
我们感谢Lauren Kalinoski, MS, CMI(伊利诺伊大学芝加哥分校)对艺术作品的帮助;Jimmy Chen, BA(俄勒冈健康与科学大学)和Shwetha Mangalesh, MBBS(杜克大学)对图像的帮助;以及Faruk Orge, MD(凯斯西储大学)、Sonal Farzavandi, FRCS(Edin)(新加坡国立眼科中心)和Derek Sprunger, MD(印第安纳大学医学院)通过国际儿科眼科与斜视委员会对本项目的支持。以上人员均未因其服务获得报酬。
财务支持:
本项目得到了骑士圣殿眼科基金会的资助;来自伊利诺伊大学芝加哥分校眼耳科医院(芝加哥,IL)的部门资助;来自美国国立卫生研究院(Bethesda, MD)的R01EY19474、K12EY027720、P30EY001792和P30EY10572资助;来自MEH的R01EY015130和R01EY017011;美国国立卫生研究院EY014800资助,以及来自研究防盲公司(纽约,NY)对犹他大学眼科与视觉科学系的无条件资助;以及来自研究防盲公司(纽约,NY)的无条件部门资助和职业发展奖(JPC)。资助方或资助机构未参与本研究的设计或实施。
利益冲突披露:
J. Peter Campbell获得了来自Genentech(南旧金山,加利福尼亚州)的研究支持。
Antonio Capone Jr是Phoenix Technology Group, LLC的股东,也是Retinal Solutions, LLC的创始人和股东,并获得来自AURA Biosciences(剑桥,马萨诸塞州)、Bayer(勒沃库森,德国)、Genentech(南旧金山,加利福尼亚州)、Ionis Pharmaceuticals(卡尔斯巴德,加利福尼亚州)、Novartis(巴塞尔,瑞士)和Regeneron Pharmaceuticals(塔里敦,纽约)的研究支持。
R. V. Paul Chan是Phoenix Technology(弗里蒙特,加利福尼亚州)的科学顾问委员会成员,Alcon(沃斯堡,德克萨斯州)的顾问,以及Novartis(巴塞尔,瑞士)的顾问。
Michael F. Chiang曾是Novartis(巴塞尔,瑞士)的顾问,是InTeleretina(檀香山,夏威夷州)的股东,并获得来自Genentech(南旧金山,加利福尼亚州)的研究支持。
Alistair Fielder是Novartis(巴塞尔,瑞士)和Bayer(雷丁,英国)的顾问。
Brian Fleck是Novartis(巴塞尔,瑞士)的顾问。
Mary Elizabeth Hartnett获得了美国国立卫生研究院的研究支持(R01EY017011, F01EY01730, EY014800),并是Regeneron(塔里敦,纽约)公司的顾问。
Domenico Lepore是Novartis(巴塞尔,瑞士)和Bayer(勒沃库森,德国)的顾问。
Şengül Özdek是Novartis(巴塞尔,瑞士)、Bayer(勒沃库森,德国)和Allergan(都柏林,爱尔兰)的顾问。
Andreas Stahl获得了Novartis(巴塞尔,瑞士)的研究支持,并是Novartis(巴塞尔,瑞士)和Bayer(勒沃库森,德国)的顾问。
Cynthia A. Toth获得了美国国立卫生研究院的研究支持(R01EY025009, U01EY028079, P30EY005722)以及研究防盲基金会Stein奖的资助,获得Alcon(沃斯堡,德克萨斯州)的版税,并是Theia Imaging, LLC的创始人和股东。
Wei-Chi Wu是Novartis(巴塞尔,瑞士)、Bayer(勒沃库森,德国)和Allergan(都柏林,爱尔兰)的顾问。
利益冲突:
Campbell博士的研究资金来自美国国立卫生研究院(R01EY19474, K12EY27720)、美国国家科学基金会(SCH-1622679)和Genentech(南旧金山,加利福尼亚州)。Capone博士是Phoenix Technology Group, LLC的股东,也是Retinal Solutions, LLC的创始人和股东,并获得来自AURA Biosciences(剑桥,马萨诸塞州)、Bayer(勒沃库森,德国)、Genentech(南旧金山,加利福尼亚州)、Ionis Pharmaceuticals(卡尔斯巴德,加利福尼亚州)、Novartis(巴塞尔,瑞士)和Regeneron Pharmaceuticals(塔里敦,纽约)的研究支持。Fleck博士是Novartis(巴塞尔,瑞士)的顾问。Hartnett博士获得了美国国立卫生研究院(R01EY017011, F01EY01730, EY014800)的研究支持,并是Regeneron(塔里敦,纽约)公司的顾问。Lepore博士是Novartis(巴塞尔,瑞士)和Bayer(勒沃库森,德国)的顾问。Özdek博士是Novartis(巴塞尔,瑞士)、Bayer(勒沃库森,德国)和Allergan(都柏林,爱尔兰)的顾问。Stahl博士获得了Novartis(巴塞尔,瑞士)的研究支持,并是Novartis(巴塞尔,瑞士)和Bayer(勒沃库森,德国)的顾问。Toth博士获得了美国国立卫生研究院(R01EY025009, U01EY028079, P30EY005722)的研究支持,并从Alcon(沃斯堡,德克萨斯州)获得版税,是Theia Imaging, LLC的创始人和股东。Wu博士是Novartis(巴塞尔,瑞士)、Bayer(勒沃库森,德国)和Allergan(都柏林,爱尔兰)的顾问。
10.2 国际早产儿视网膜病分类委员会
写作委员会:Michael F. Chiang, Graham E. Quinn, Alistair R. Fielder, Susan R. Ostmo, R. V. Paul Chan
委员会成员:
主席:Michael F. Chiang, MD(美国马里兰州贝塞斯达,国家眼科研究所)
副主席:Graham Quinn, MD, MSCE(美国宾夕法尼亚州费城,费城儿童医院)
Audina Berrocal, MD(美国佛罗里达州迈阿密,巴斯科姆·帕尔默眼科医院)
Gil Binenbaum, MD, MSCE(美国宾夕法尼亚州费城,费城儿童医院)
Michael Blair, MD(美国伊利诺伊州芝加哥,芝加哥大学)
J. Peter Campbell, MD, MPH(美国俄勒冈州波特兰,俄勒冈健康与科学大学)
Antonio Capone, Jr., MD(美国密歇根州罗切斯特,联合视网膜顾问公司;奥克兰大学)
R.V. Paul Chan, MD(美国伊利诺伊州芝加哥,伊利诺伊大学芝加哥分校) - 国际儿科眼科与斜视委员会(IPOSC)ROP委员会主席
Yi Chen, MD(中国北京市,中国-日本友谊医院)
Shuan Dai, MD(澳大利亚布里斯班,昆士兰儿童医院)
Anna Ells, MD(加拿大阿尔伯塔省卡尔加里,卡尔加里视网膜顾问公司)
Alistair Fielder, FRCP(英国伦敦城市大学)
Brian Fleck, MD(英国爱丁堡,爱丁堡大学)
William Good, MD(美国加利福尼亚州旧金山,史密斯-凯特尔威尔眼科研究所)
Mary Elizabeth Hartnett, MD(美国犹他州盐湖城,犹他大学)
Gerd Holmstrom, MD(瑞典乌普萨拉,乌普萨拉大学)
Shunji Kusaka, MD, PhD(日本大阪狭山市,近大大学)
Andrés Kychenthal, MD(智利圣地亚哥,KYDOFT基金会)
Domenico Lepore, MD(意大利罗马,A. Gemelli基金会IRCSS,天主教圣心大学)
Birgit Lorenz, MD(德国吉森,贾斯图斯-李比希大学和德国波恩大学眼科部门)
Maria Ana Martinez-Castellanos, MD(墨西哥墨西哥城,APEC)
Susan R. Ostmo, MS(美国俄勒冈州波特兰,俄勒冈健康与科学大学)
Şengül Özdek, MD(土耳其安卡拉,Gazi大学)
Dupe Ademola-Popoola, MD(尼日利亚伊洛林,伊洛林大学)
James Reynolds, MD(美国纽约州布法罗,罗斯眼科研究所,布法罗大学)
Parag K. Shah, MD(印度泰米尔纳德邦科印巴托尔,阿拉文德眼科医院)
Michael Shapiro, MD(美国伊利诺伊州德斯普兰斯,视网膜顾问公司)
Andreas Stahl, MD(德国格赖夫斯瓦尔德,格赖夫斯瓦尔德大学医学)
Cynthia Toth, MD(美国北卡罗来纳州杜伦,杜克大学)
Anand Vinekar, MD, PhD(印度卡纳塔克邦班加罗尔,纳拉亚纳眼科医院)
Linda Visser, MD(南非德班,夸祖鲁-纳塔尔大学)
David Wallace, MD, MPH(美国印第安纳州印第安纳波利斯,印第安纳大学医学院)
Wei-Chi Wu, MD, PhD(台湾桃园,长庚纪念医院)
Peiquan Zhao, MD(中国上海,新华医院和上海交通大学医学院)
Andrea Zin, MD, PhD(巴西里约热内卢,费尔南德斯·菲格雷拉研究所,FIOCRUZ)
11. 参考文献
- Reese AB, King MJ, Owens WC. Classification of retrolental fibroplasia. Am J Ophthalmol. 1953;36(10):1333–1335.
- The Committee for the Classification of Retinopathy of Prematurity. An international classification of retinopathy of prematurity. Arch Ophthalmol. 1984;102(8):1130–1134.
- Cryotherapy for Retinopathy of Prematurity Cooperative Group. Multicenter trial of cryotherapy for retinopathy of prematurity. Preliminary results. Arch Ophthalmol. 1988;106(4):471–479.
- ICROP Committee for classification of late stages of ROP: An international classification of retinopathy of prematurity: II The classification of retinal detachment. Arch Ophthalmol. 1987;105:906–912.
- Committee for the Classification of Retinopathy of Prematurity. The International Classification of Retinopathy of Prematurity Revisited. Arch Ophthal. 2005;123(7):991.
- Mintz-Hittner HA, Kennedy KA, Chuang AZ, BEAT-ROP Cooperative Group. Efficacy of intravitreal bevacizumab for stage 3+ retinopathy of prematurity. N Engl J Med. 2011;364(7):603–615.
- Stahl A, Lepore D, Fielder A, et al. Ranibizumab versus laser therapy for the treatment of very low birthweight infants with retinopathy of prematurity (RAINBOW): an open-label randomised controlled trial. Lancet. 2019;394(10208):1551–1559.
- Provis JM. Development of the primate retinal vasculature. Prog Retin Eye Res. 2001;20(6):799–821.
- Gallagher K, Moseley MJ, Tandon A, Watson MP, Cocker KD, Fielder AR. Nasotemporal asymmetry of retinopathy of prematurity. Arch Ophthalmol. 2003;121(11):1563–1568.
- Isenberg SJ. Macular development in the premature infant. Am J Ophthalmol. 1986;101(1):74–80.
- De Silva DJ, Cocker KD, Lau G, Clay ST, Fielder AR, Moseley MJ. Optic disk size and optic disk-to-fovea distance in preterm and full-term infants. Invest Ophthalmol Vis Sci. 2006;47(11):4683–4686.
- Chiang MF, Thyparampil PJ, Rabinowitz D. Interexpert agreement in the identification of macular location in infants at risk for retinopathy of prematurity. Arch Ophthalmol. 2010;128(9):1153–1159.
- Quinn GE, Schaffer DB, Johnson L. A revised classification of retinopathy of prematurity. Am J Ophthalmol. 1982;94(6):744–749.
- Capone A Jr, Ells AL, Fielder AR, et al. Standard image of plus disease in retinopathy of prematurity. Arch Ophthalmol. 2006;124(11):1669–1670.
- Gelman SK, Gelman R, Callahan AB, et al. Plus disease in retinopathy of prematurity: quantitative analysis of standard published photograph. Arch Ophthalmol. 2010;128(9):1217–1220.
- Kim SJ, Campbell JP, Kalpathy-Cramer J, et al. Accuracy and Reliability of Eye-Based vs Quadrant-Based Diagnosis of Plus Disease in Retinopathy of Prematurity. JAMA Ophthalmol. 2018;136(6):648–655.
- Early Treatment For Retinopathy Of Prematurity Cooperative Group. Revised indications for the treatment of retinopathy of prematurity: results of the early treatment for retinopathy of prematurity randomized trial. Arch Ophthalmol. 2003;121(12):1684–1694.
- Chiang MF, Jiang L, Gelman R, Du YE, Flynn JT. Interexpert Agreement of Plus Disease Diagnosis in Retinopathy of Prematurity. Arch Ophthal. 2007;125(7):875–80.
- Wallace DK, Quinn GE, Freedman SF, Chiang MF. Agreement among pediatric ophthalmologists in diagnosing plus and pre-plus disease in retinopathy of prematurity. J AAPOS. 2008;12(4):352–356.
- Fleck BW, Williams C, Juszczak E, et al. An international comparison of retinopathy of prematurity grading performance within the Benefits of Oxygen Saturation Targeting II trials. Eye. 2018;32(1):74–80.
- Campbell JP, Kalpathy-Cramer J, Erdogmus D, et al. Plus Disease in Retinopathy of Prematurity: A Continuous Spectrum of Vascular Abnormality as a Basis of Diagnostic Variability. Ophthalmology. 2016;123(11):2338–2344.
- Gschlieber A, Stifter E, Neumayer T, et al. Effect of patients’ clinical information on the diagnosis of and decision to treat retinopathy of prematurity. Retina. 2018;38(11):2253–2259. doi: 10.1097/iae.0000000000001864
- Wallace DK, Kylstra JA, Greenman DB, Freedman SF. Significance of isolated neovascular tufts (“Popcorn”) in retinopathy of prematurity. J AAPOS. 1998;2(1):52–56.
- Lepore D, Molle F, Pagliara MM, et al. Atlas of fluorescein angiographic findings in eyes undergoing laser for retinopathy of prematurity. Ophthalmology. 2011;118(1):168–175.
- Flynn JT, Chan-Ling T. Retinopathy of Prematurity: Two Distinct Mechanisms That Underlie Zone 1 and Zone 2 Disease. Am J Ophthalmol. 2006;142(1):46–59.e2.
- Shah PK, Narendran V, Saravanan VR, et al. Fulminate retinopathy of prematurity - clinical characteristics and laser outcome. Indian J Ophthalmol. 2005;53(4):261–265.
- Sanghi G, Dogra MR, Dogra M, Katoch D, Gupta A. A hybrid form of retinopathy of prematurity. Br J Ophthalmol. 2012;96(4):519–522.
- Hartnett ME, McColm JR. Retinal features predictive of progressive stage 4 retinopathy of prematurity. Retina. 2004;24(2):237–241.
- Kondo H, Arita N, Osato M, Hayashi H, Oshima K, Uchio E. Late recurrence of retinal detachment following successful vitreous surgery for stages 4B and 5 retinopathy of prematurity. Am J Ophthalmol. 2009;147(4):661–666.e1.
- Jabbour NM, Eller AE, Hirose T, Schepens CL, Liberfarb R. Stage 5 retinopathy of prematurity. Prognostic value of morphologic findings. Ophthalmology. 1987;94(12):1640–1646.
- Gadkari SS, Deshpande M, Kulkarni S. Minimally fibrotic stage 5 ROP: a clinical prognostic factor in eyes undergoing vitrectomy for stage 5 retinopathy of prematurity. Graefes Arch Clin Exp Ophthalmol. 2016;254(7):1303–1309.
- Ozsaygili C, Ozdek S, Ozmen MC, Atalay HT, Yeter DY. Preoperative anatomical features associated with improved surgical outcomes for stage 5 ROP. Retina. Published online September 10, 2020. doi: 10.1097/IAE.0000000000002948
- Coats DK, Miller AM, Hussein MAW, McCreery KMB, Holz E, Paysse EA. Involution of retinopathy of prematurity after laser treatment: factors associated with development of retinal detachment. Am J Ophthalmol. 2005;140(2):214–222.
- Stahl A, Krohne TU, Eter N, et al. Comparing Alternative Ranibizumab Dosages for Safety and Efficacy in Retinopathy of Prematurity: A Randomized Clinical Trial. JAMA Pediatr. 2018;172(3):278–286.
- Ling CS, Fleck BW, Wright E, Anderson C, Laing I. Diode laser treatment for retinopathy of prematurity: structural and functional outcome. Br J Ophthalmol. 1995;79(7):637–641.
- Kwon JY, Ghodasra DH, Karp KA, et al. Retinal vessel changes after laser treatment for retinopathy of prematurity. J AAPOS. 2012;16(4):350–353.
- Vural A, Ekinci DY, Onur IU, Hergünsel GO, Yiğit FU. Comparison of fluorescein angiographic findings in type 1 and type 2 retinopathy of prematurity with intravitreal bevacizumab monotherapy and spontaneous regression. Int Ophthalmol. 2019;39(10):2267–2274.
- Mintz-Hittner HA, Geloneck MM, Chuang AZ. Clinical Management of Recurrent Retinopathy of Prematurity after Intravitreal Bevacizumab Monotherapy. Ophthalmology. 2016;123(9):1845–1855.
- Wallace DK, Dean TW, Hartnett ME, et al. A Dosing Study of Bevacizumab for Retinopathy of Prematurity: Late Recurrences and Additional Treatments. Ophthalmology. 2018;125(12):1961–1966.
- Yonekawa Y, Thomas BJ, Thanos A, et al. The cutting edge of retinopathy of prematurity care: Expanding the Boundaries of Diagnosis and Treatment. Retina. 2017;37(12):2208–2225.
- Bowl W, Lorenz B, Stieger K, Schweinfurth S, Holve K, Andrassi-Darida M. Fundus-Controlled Dark Adaptometry in Young Children Without and With Spontaneously Regressed Retinopathy of Prematurity. Transl Vis Sci Technol. 2019;8(3):62.
- Uner OE, Rao P, Hubbard GB 3rd. Reactivation of Retinopathy of Prematurity in Adults and Adolescents. Ophthalmol Retina. Published online February 11, 2020. doi: 10.1016/j.oret.2020.02.001
- Hamad AE, Moinuddin O, Blair MP, et al. Late-Onset Retinal Findings and Complications in Untreated Retinopathy of Prematurity. Ophthalmol Retina. 2020;4(6):602–612.
- Garcia Gonzalez JM, Snyder L, Blair M, Rohr A, Shapiro M, Greenwald M. Prophylactic peripheral laser and fluorescein angiography after bevacizumab for retinopathy of prematurity. Retina. 2018;38(4):764–772.
- Al-Taie R, Simkin SK, Douçet E, Dai S. Persistent Avascular Retina in Infants With a History of Type 2 Retinopathy of Prematurity: To Treat or Not to Treat? J Pediatr Ophthalmol Strabismus. 2019;56(4):222–228.
- Mintz-Hittner HA, Knight-Nanan DM, Satriano DR, Kretzer FL. A small foveal avascular zone may be an historic mark of prematurity. Ophthalmology. 1999;106(7):1409–1413.
- Takagi M, Maruko I, Yamaguchi A, Kakehashi M, Hasegawa T, Iida T. Foveal abnormalities determined by optical coherence tomography angiography in children with history of retinopathy of prematurity. Eye. 2019;33(12):1890–1896.
- Yanni SE, Wang J, Chan M, et al. Foveal avascular zone and foveal pit formation after preterm birth. Br J Ophthalmol. 2012;96(7):961–966.
- Bremer DL, Rogers DL, Good WV, Tung B, Hardy RJ, Fellows R. Glaucoma in the Early Treatment for Retinopathy of Prematurity (ETROP) study. J AAPOS. 2012;16(5):449–452.
- Robinson J, Cheung AY, Nudleman E, et al. Ocular Hypertension in Adults with a History of Prematurity. Ophthalmol Retina. 2018;2(6):629–635.
版权说明:
本文由 youcans@xidian 对论文 “International Classification of Retinopathy of Prematurity, Third Edition” 进行摘编和翻译。该论文版权属于原文期刊和作者,本译文只供研究学习使用。
youcans@xidian 作品,转载必须标注原文链接:
【医学影像 AI】早产儿视网膜病变国际分类(第三版)(https://youcans.blog.csdn.net/article/details/147308656)
Crated:2025-04